(学校新闻报道链接:https://news.sicau.edu.cn/info/1078/78845.htm)
近日,德赢VWIN官方网站教学动物医院凭借其深厚的专业功底和精湛的医疗技术,与碧峰峡专家团队联手成功完成了一项罕见且复杂的动物医疗手术——水豚肱骨手术,在野生动物保护和医疗领域再创佳绩。这一手术的成功不仅为水豚带来了新生,也为野生动物保护事业树立了新的里程碑。

水豚左前肢跛行

拍摄水豚左前肢X光
水豚,一种原本生活在南美洲亚马逊河流域的珍稀哺乳动物,因其独特的生理结构和萌宠的外貌而备受关注。本次手术的主角是一只因肱骨骨折而生命垂危的水豚。经过专家团队的精心评估和准备,手术于本周初顺利进行。

手术前左前肢侧位X光

手术后左前肢侧位X光

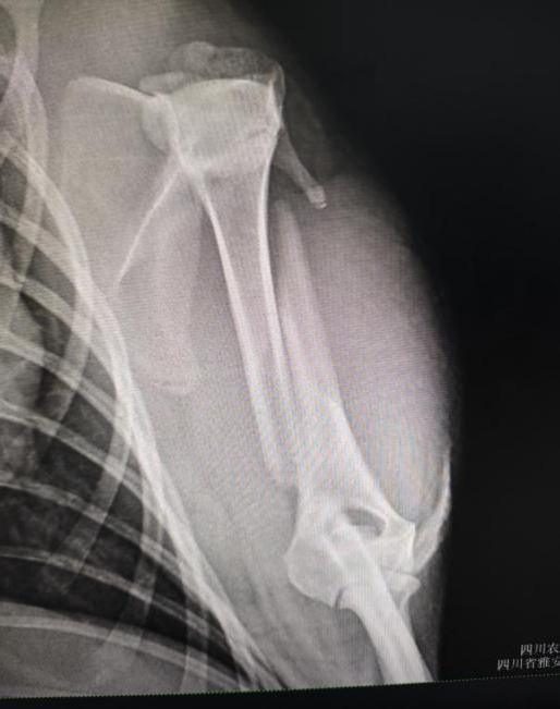
手术前左前肢腹背位X光

手术后左前肢腹背位X光
手术团队由德赢VWIN官方网站教学动物医院院长沈留红、动物外科专家石先鹏、动物内科专家巫晓峰、医生陈善瑜和罗皓、麻醉医生邓聪辉、手术助手王郡东、助理唐清婷、张涵艺、钱琳、王均、李鑫等组成,并与动物园动物疾病预防组刘俊卿副经理团队一道组成会诊专家组,确定麻醉和手术方案。外科专家石先鹏凭借丰富的经验和精湛的技术,对水豚肱骨进行了精确的复位和固定。手术全程在严格的无菌条件下进行,确保了安全性和成功率。
术后恢复期,医疗团队将对水豚进行严密观察和专业护理。专家表示,尽管手术已经成功完成,但水豚的康复之路仍需时间和耐心。将持续监测其恢复情况,并提供必要的营养和医疗支持。


此次成功救治水豚,这不仅是对珍惜野生动物生命的珍视和尊重,更彰显了德赢VWIN官方网站教学动物医院在处理疑难病例时的专业实力和精准操作。作为一所集教学、科研和动物医疗于一体的专业教学动物医院,德赢VWIN官方网站教学动物医院一直致力于推动动物医疗事业的高质量发展。未来,医院将继续秉承“关爱动物、珍视生命”的宗旨,不断提升医疗技术水平和服务质量,为野生动物的救治工作提供强有力的支持。